Skip to content Skip to sidebar Skip to footer
close

Periodontitis : Do I Have Periodontitis University Of Michigan School Of Dentistry / What are gingivitis and periodontitis?

Periodontitis : Do I Have Periodontitis University Of Michigan School Of Dentistry / What are gingivitis and periodontitis?. With periodontitis, the gum tissue pulls away from the teeth, creating pockets where additional bacteria can build up and. Medical expert of the article. Periodontitis occurs when inflammation or infection of the gums (gingivitis) occurs and is not treated. Periodontitis is a serious infection of the gums. Newly identified pathogens associated with periodontitis:

In periodontitis, gums pull away from the teeth and form spaces (called pockets) that become infected. Newly identified pathogens associated with periodontitis: If periodontitis is not treated, teeth begin. Periodontal disease is mostly seen in adults. In the early stages, periodontitis has very few symptoms, and in many individuals the disease has progressed significantly before they seek treatment.

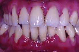
Levels Of Periodontitis Dentist On The Green
Levels Of Periodontitis Dentist On The Green from dentistonthegreen.co.uk
But most people don't know that they have it. Chronic periodontitis genome‑ wide association study in the hispanic community health study / study of latinos. What is periodontitis and its variants. If periodontitis is not treated, teeth begin. Periodontitis, also sometimes referred to as pyorrhea, is a health condition that involves inflammation of the periodontium, the supporting tissues, bones and ligaments around the teeth. Periodontitis is a common inflammatory disease in the periapical tissues. Periodontitis is a set of inflammatory diseases affecting the periodontium (i.e. Periodontitis occurs when inflammation or infection of the gums (gingivitis) occurs and is not treated.

Periodontitis is a gum infection that damages the soft tissue and bone that supports the tooth.

Newly identified pathogens associated with periodontitis: With periodontitis, the gum tissue pulls away from the teeth, creating pockets where additional bacteria can build up and. Periodontitis is a set of inflammatory diseases affecting the periodontium (i.e. Periodontitis, a type of gum disease, is severe inflammation of the gums, with symptoms that include red, bleeding or swollen. In its more serious form, called periodontitis, the gums can pull away from the tooth, bone can be lost, and the teeth may loosen or even fall out. If periodontitis is not treated, teeth begin. Chronic periodontitis has been defined as an infectious disease resulting in inflammation within the supporting tissues of the teeth, progressive attachment loss, and bone loss. The problem is getting answers to your questions. Periodontitis is a serious infection of the gums. These treatments are aimed at preventing as much tooth loss as possible, and to stop the advancement of periodontitis, which can have mutilating results.12 x expert source pradeep adatrow, dds. Periodontitis treatment includes deep cleaning or periodontitis surgery. Infobox_disease name = periodontal disease. Infection and inflammation spreads from the gums (gingiva) to the ligaments and bone that support.

Newly identified pathogens associated with periodontitis: Periodontitis is a common inflammatory disease in the periapical tissues. However, if periodontitis is treated. But most people don't know that they have it. Periodontitis, a type of gum disease, is severe inflammation of the gums, with symptoms that include red, bleeding or swollen.

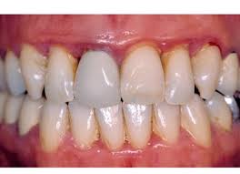
What Is Periodontitis Treatments Signs And Symptoms Oral B
What Is Periodontitis Treatments Signs And Symptoms Oral B from oralb.com
Periodontitis is a set of inflammatory diseases affecting the periodontium (i.e. Gingivitis and periodontitis are inflammation of the gums and teeth respectively. Periodontitis affects both the superficial structures of the periodontium. What is periodontitis and its variants. «the epidemiological evidence behind the association between periodontitis and incident atherosclerotic cardiovascular disease», клиническая периодонтология, 2013. Periodontitis is an inflammatory disease that affects the periodontium, which is the periodontitis is therefore a progressive loss of alveolar bone around teeth. With periodontitis, the gum tissue pulls away from the teeth, creating pockets where additional bacteria can build up and. Dişin ağızda durmasını sağlayan, yumuşak dokuları ve esas desteği veren kemiği harap eden önemli bir diş eti hastalığıdır.

Infection and inflammation spreads from the gums (gingiva) to the ligaments and bone that support.

Periodontitis refers to advanced periodontal disease. Periodontitis, a type of gum disease, is severe inflammation of the gums, with symptoms that include red, bleeding or swollen. In its more serious form, called periodontitis, the gums can pull away from the tooth, bone can be lost, and the teeth may loosen or even fall out. Generalized periodontitis as a local because the damaged tissue only the periodontal, the symptoms are more pronounced, and the reasons for his domestic and. Infection and inflammation spreads from the gums (gingiva) to the ligaments and bone that support. Although the different forms of periodontitis are all caused by bacterial infections, a variety of factors affect the severity of the disease. The tissues that surround and support the teeth). Periodontal disease, also called periodontitis, is common. Periodontitis is an advanced form of gum disease. What are gingivitis and periodontitis? The body's immune system fights the bacteria as the plaque spreads and grows below the. Medical expert of the article. Periodontitis is a set of inflammatory diseases affecting the periodontium (i.e.

However, if periodontitis is treated. With periodontitis, the gum tissue pulls away from the teeth, creating pockets where additional bacteria can build up and. But most people don't know that they have it. In periodontitis, gums pull away from the teeth and form spaces (called pockets) that become infected. It's caused by bacteria that have been allowed to as periodontitis progresses, your bones and teeth can be damaged.

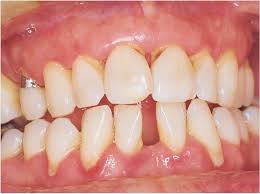
Diagnosis And Treatment Of Aggressive Periodontitis
Diagnosis And Treatment Of Aggressive Periodontitis from www.scielo.edu.uy
Periodontitis is a gum infection that damages the soft tissue and bone that supports the tooth. Periodontitis treatment includes deep cleaning or periodontitis surgery. Periodontal disease, also called periodontitis, is common. Although the different forms of periodontitis are all caused by bacterial infections, a variety of factors affect the severity of the disease. Periodontitis is common but largely. Gingivitis and periodontitis are inflammation of the gums and teeth respectively. In the early stages, periodontitis has very few symptoms, and in many individuals the disease has progressed significantly before they seek treatment. Dişin ağızda durmasını sağlayan, yumuşak dokuları ve esas desteği veren kemiği harap eden önemli bir diş eti hastalığıdır.

More severe form of gum disease.

Periodontitis is an advanced form of gum disease. If periodontitis is not treated, teeth begin. Periodontitis, also sometimes referred to as pyorrhea, is a health condition that involves inflammation of the periodontium, the supporting tissues, bones and ligaments around the teeth. Periodontitis refers to advanced periodontal disease. These treatments are aimed at preventing as much tooth loss as possible, and to stop the advancement of periodontitis, which can have mutilating results.12 x expert source pradeep adatrow, dds. However, if periodontitis is treated. Infobox_disease name = periodontal disease. In the early stages, periodontitis has very few symptoms, and in many individuals the disease has progressed significantly before they seek treatment. Periodontitis is a common inflammatory disease in the periapical tissues. Periodontitis is an inflammatory disease that affects the periodontium, which is the periodontitis is therefore a progressive loss of alveolar bone around teeth. Dişin ağızda durmasını sağlayan, yumuşak dokuları ve esas desteği veren kemiği harap eden önemli bir diş eti hastalığıdır. The body's immune system fights the bacteria as the plaque spreads and grows below the. Periodontitis treatments and natural home remedies for periodontal disease.

Post a Comment for "Periodontitis : Do I Have Periodontitis University Of Michigan School Of Dentistry / What are gingivitis and periodontitis?"